We are now accepting the Canadian Dental Care Plan — Learn More
We are now accepting the 🇨🇦 Canadian Dental Care Plan — Learn More

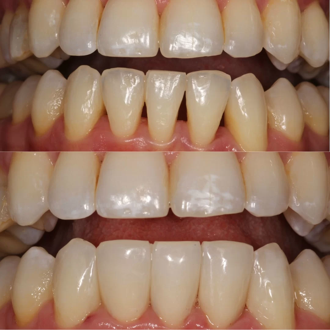
Bioclear Treatment in Surrey

Bioclear treatment in Surrey is a minimally invasive way to close gaps, fix uneven edges, and improve your smile using natural-looking materials, often completed in a single visit.

Bioclear in Surrey

Bioclear: The Future of Smile Enhancement

At Just Smiles Dental, we are committed to offering innovative solutions that give you a beautiful, functional, and natural-looking smile. One of the most advanced treatments in cosmetic dentistry today is Bioclear, a cutting-edge technique that restores and enhances your smile with minimal invasion. Whether you’re dealing with chipped, uneven, or stained teeth, Bioclear offers an excellent solution with long-lasting results.

What Is Bioclear?

Bioclear is a modern, non-invasive dental treatment that uses advanced composite materials to restore the appearance of your teeth. Unlike traditional veneers, which require the removal of some tooth structure, Bioclear preserves your natural teeth while enhancing their beauty. It’s a great choice for anyone looking for a natural-looking smile without the need for invasive procedures.

The treatment is customized for each patient, ensuring that it fits your unique smile. Whether you want to address cosmetic imperfections or make a broader aesthetic improvement, Bioclear is a versatile and effective solution.

Bioclear in Surrey

Why Choose Bioclear Treatment?

Minimal Tooth Preparation:
Bioclear is a more conservative option compared to traditional veneers or crowns. It requires little to no removal of healthy tooth structure, preserving your natural teeth.

Natural Results:
The composite resin used in Bioclear closely mimics the natural color and texture of your teeth, providing a seamless, natural appearance that blends perfectly with your smile.

Long-Lasting and Durable:
The materials used in Bioclear are durable, making it a long-lasting solution for your cosmetic dental needs. With proper care, your Bioclear treatment can last for many years.

Versatile Treatment:
Bioclear can address a wide range of dental concerns, including chipped or broken teeth, gaps, and discoloration. Whether you’re looking for a full smile makeover or need a solution for a single issue, Bioclear offers a comprehensive approach.

Bioclear

Who Is a Good Candidate?

Bioclear works for a wide range of dental concerns. Ideal candidates include those with:

  • Chipped or cracked teeth: Bioclear can restore broken or chipped teeth for a more uniform appearance.
  • Gaps between teeth: If you have spaces between your teeth, Bioclear can close them smoothly.
  • Discolored or stained teeth: Bioclear can help restore the natural whiteness of your smile.
  • Uneven or misshapen teeth: Bioclear smooths out irregular teeth for a more uniform look.

Why Choose Just Smiles Dental for Bioclear in Surrey?

We focus on enhancing your smile with precision and care, using advanced techniques to deliver natural-looking, confident results tailored just for you.

How Does Bioclear Treatment Work?

The Bioclear treatment in Surrey is a straightforward process that can typically be completed in just one or two visits. Here’s how it works:

Bioclear
Consultation & Examination: During your first visit, we’ll assess your teeth and discuss your goals for treatment. We’ll explain the procedure and determine if Bioclear is the right choice for you.
Treatment Planning: Once we decide on Bioclear, we’ll take digital impressions and design a treatment plan tailored to your needs. The application will be customized for your unique smile.
The Application: The composite material is carefully applied to your teeth, shaped into place, and sculpted to match the natural contours of your smile. After the procedure, your teeth will be polished for a smooth, natural finish.
Aftercare: Bioclear requires minimal aftercare. Regular brushing and flossing will keep your smile looking great, and periodic visits to the dentist will ensure the longevity of your treatment.
Teeth Whitening

Transform Your Smile with Bioclear in Surrey

If you’re looking to enhance your smile with Bioclear in Surrey, Just Smiles Dental is here to help. Our experienced team will guide you through the process, ensuring you receive a smile that you’ll love. Schedule a consultation today and take the first step toward a more confident you!

FAQs About Bioclear

Bioclear is designed to be a long-lasting solution. With proper care, your Bioclear treatment can last for many years.

No, Bioclear requires no special maintenance. Just continue with your regular brushing and flossing routine to keep your smile looking great.

Unlike veneers, Bioclear requires minimal tooth removal, making it a more conservative and less invasive option. It’s also customizable to fit your specific needs.

The procedure typically takes one to two visits, depending on the complexity of your treatment.

Scroll to Top