They’re nearly invisible, easy to remove, and more comfortable than braces. Eat what you want, clean with ease, and smile through the process.
Invisalign Teen offers a nearly invisible and comfortable alternative to metal braces, ideal for active teens. It makes maintaining oral hygiene easier and fits seamlessly into busy lifestyles filled with sports and activities.
Invisalign is a discreet, convenient solution for adults who want straighter teeth without the hassle or embarrassment of traditional braces. It fits easily into your lifestyle, letting you maintain confidence and routine while achieving a healthier smile.
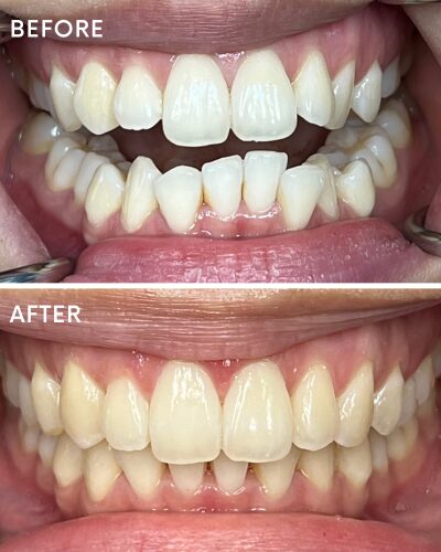
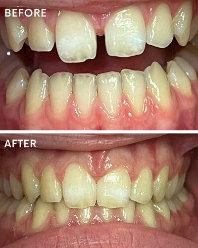
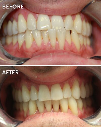
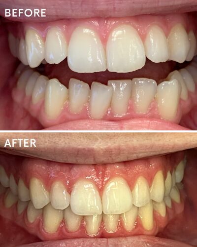
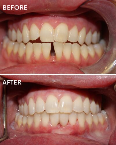
Here are a few of our patients’ before and after photos. Actual results may vary.





















