
When it comes to enhancing your smile, there are a variety of options available, including veneers, bonding, and newer techniques like Bioclear. If you’re considering a smile makeover or addressing dental concerns like black triangles or gaps between your teeth, you may have come across the Bioclear system.
But what exactly is Bioclear, and how does it compare to other dental treatments like bonding or veneers? In this blog, we’ll break down everything you need to know about Bioclear: its benefits, costs, how it works, and whether it’s the right option for you.
What Is Bioclear?
The Bioclear method is a modern, minimally invasive dental treatment designed to address a range of cosmetic dental issues, including gaps between teeth, black triangles, and minor chips. Unlike traditional dental bonding or veneers, Bioclear uses an innovative injection molding technique to create natural-looking results.
What Makes Bioclear Different from Traditional Bonding?
Traditional bonding involves applying composite resin to the surface of a tooth to fill in gaps or improve appearance. While this can work well, the results may not always look as natural, and the resin can stain over time.
The Bioclear system, on the other hand, uses a unique process called injection molding. This technique allows for a more precise, seamless application of composite resin that mimics the natural contours and translucency of your teeth, providing a more lifelike and long-lasting result.
How Does the Bioclear Method Work?
The Bioclear method works through a step-by-step process that’s simple but highly effective.
Step-by-Step Simplified Explanation:
- Tooth Preparation: The dentist starts by cleaning your teeth and preparing the surface to ensure the resin adheres well.
- Custom Molding: The dentist then places a special Bioclear matrix (a mold) around the affected tooth or teeth. This matrix ensures that the resin will be injected in a way that matches the natural contour of your tooth.
- Injection Molding: The dentist injects composite resin into the mold, filling the gaps or correcting the shape. This step is what sets Bioclear apart from traditional bonding. The injection molding ensures that the resin flows into every contour, creating a seamless, natural-looking result.
- Sculpting and Polishing: After the resin hardens, the dentist sculpts it to perfect the shape and polish the surface to match the natural shine of your teeth.
Composite Injection Molding Concept (In Simple Terms):
In simple terms, injection molding is like filling a mold with a material to create a perfect replica. Instead of just placing resin over your tooth, the Bioclear system allows the resin to flow into the exact spaces it needs to fill, creating a smoother, more lifelike result.
Bioclear for Black Triangles
What Are Black Triangles?
Black triangles refer to the spaces or gaps between your teeth, typically at the gumline, where the gum tissue has receded or isn’t present. These can make your smile appear less uniform and affect the overall appearance of your teeth.
Why Bioclear Is Popular for This Issue
Bioclear is particularly effective for black triangles because the injection molding technique allows the dentist to reshape the area, fill the gaps, and restore a natural, seamless smile.
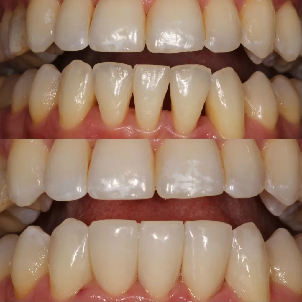
Expected Bioclear Before and After Results
Bioclear before and after results for black triangles typically show a dramatic improvement. The gaps between the teeth are filled in smoothly, and the teeth appear more uniform. The results are often long-lasting and can significantly enhance the overall aesthetic of your smile.

Bioclear Teeth: What Results Can You Expect?
The Bioclear system can provide several cosmetic benefits, including:
- Shape Correction: If your teeth are misshapen or have uneven contours, Bioclear can restore a more natural, symmetrical appearance.
- Closing Gaps: Bioclear is ideal for closing small to moderate gaps between teeth.
- Repairing Minor Chips: The system is perfect for fixing small chips and cracks in your teeth.
- Smile Enhancement: Overall, Bioclear helps to create a brighter, more youthful smile by filling in imperfections.
Bioclear can address these issues without the need for more invasive procedures like crowns or veneers, making it a great option for those looking for a minimally invasive solution.
Is Bioclear Safe?
One of the most common questions people ask is, “Is Bioclear safe?”
The Bioclear method is designed to be safe and effective, with minimal impact on your natural teeth. Here’s why:
- Tooth Preservation: Bioclear doesn’t require extensive tooth reduction like traditional veneers. Instead, it preserves your natural tooth structure, making it a more conservative treatment.
- Minimally Invasive: The procedure is minimally invasive and doesn’t involve cutting or drilling into your teeth.
- Longevity: With proper care, Bioclear can last for many years, offering a durable solution to cosmetic dental issues.
Bioclear Cost: What Influences the Price?
Bioclear cost can vary depending on a variety of factors:
- The Number of Teeth Treated: The more teeth that need treatment, the higher the cost.
- The Complexity of the Treatment: If you have significant gaps, chips, or other complex issues, the price may be higher.
- Your Location: Prices for Bioclear can vary by location and the dental office’s expertise.
Generally, Bioclear cost is less expensive than traditional veneers but may be more expensive than basic bonding. Expect to pay between $300 to $900 per tooth for Bioclear, depending on the factors mentioned above.
Bioclear vs Bonding
Here’s how Bioclear vs bonding stacks up:
- Appearance: Bioclear provides a more natural, translucent finish, while traditional bonding can sometimes look less lifelike.
- Durability: Bioclear tends to be more durable because it uses a specialized resin that’s stronger than the standard bonding materials.
- Technique Difference: While bonding simply involves placing resin on the teeth, Bioclear uses an injection molding technique that offers a more seamless and precise result.
- Maintenance: Bioclear is less likely to stain over time compared to traditional bonding.
Bioclear vs Veneers
How does Bioclear vs veneers compare?
- Tooth Reduction: Veneers require more tooth reduction than Bioclear, which preserves more of your natural tooth structure.
- Cost Difference: Veneers are typically more expensive than Bioclear, making Bioclear a more affordable option for many people.
- Longevity: Veneers are known to last longer than Bioclear, but Bioclear can still provide long-lasting results with proper care.
- Best Candidates: Bioclear is great for minor cosmetic issues, while veneers are ideal for more dramatic smile makeovers.
Bioclear Disadvantages
While Bioclear offers many benefits, there are some disadvantages to consider:
- Not Ideal for Severe Cases: If you have severe tooth damage or alignment issues, Bioclear may not be the best option.
- Cost: While it’s less expensive than veneers, Bioclear can still be more costly than traditional bonding.
- Skill-Dependent Technique: The success of Bioclear largely depends on the skill of the dentist. It’s important to choose a certified Bioclear provider with experience.
How to Find a Certified Bioclear Provider
When looking for a Bioclear provider, make sure they have:
- Proper Training: Ask about their certification and experience with the Bioclear system.
- Portfolio of Work: Request before and after photos to see their previous Bioclear results.
- Experience: Choose a provider who is familiar with the specific concerns you want to address, like black triangles or minor chips.

Bioclear Reviews: What Patients Say
Common Feedback Trends:
- Confidence Improvement: Many patients report feeling more confident in their smile after Bioclear treatments.
- Natural Look: Bioclear’s ability to create a natural, lifelike result is a major highlight for most patients.
- Durability: Patients appreciate the long-lasting nature of Bioclear, especially compared to traditional bonding.
Frequently Asked Questions
1. What is the Bioclear method?
The Bioclear method is a minimally invasive dental procedure that uses composite resin to reshape teeth, close gaps, and fix imperfections like black triangles or minor chips.
2. Is Bioclear better than veneers?
Bioclear is a more affordable, minimally invasive option for minor cosmetic issues. Veneers may be better for more extensive smile makeovers, but require more tooth reduction and are typically more expensive.
3. How long does Bioclear last?
With proper care, Bioclear teeth can last for many years, though they may require occasional touch-ups depending on wear and tear.
4. Is Bioclear safe for teeth?
Yes, Bioclear is a safe, tooth-preserving procedure that uses a minimally invasive approach to correct cosmetic issues without damaging the natural tooth.
How much does Bioclear cost?
5. The cost for Bioclear typically ranges between $300 and $900 per tooth, depending on the complexity and number of teeth treated.
Conclusion: Is Bioclear Right for You?
Bioclear offers a fantastic solution for people looking to enhance their smile without the invasiveness of veneers or the limitations of traditional bonding. Whether you’re looking to close gaps, correct black triangles, or fix minor chips, Bioclear is a durable, natural-looking option.
If you’re looking for Bioclear in Surrey, BC, look no further than Just Smiles Dental. Our experienced team is here to help you achieve a natural, beautiful smile with our personalized Bioclear treatments. Schedule a consultation today and take the first step toward a more confident you!